
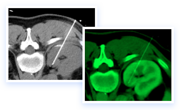
Technology
The IGTFusion System utilizes patented software algorithms to automatically align images from single and multiple image sources.
IGTFusion can visualize and register 3D image data from multiple modalities, including CT, PET, and MR images automatically.









